Full Mouth Rehab


Braces, Implants, Crowned Upper Teeth


Implants are a tremendous option to replace a single tooth or many teeth. This gallery is designed to show you some of the options that are available using dental implants.
Implants Gallery Case 1

This patient lost her front tooth in an ice skating accident. The options were to place a three tooth bridge, which requires the removal of some of the adjacent teeth; an implant; or a removable appliance such as a partial denture. The patient chose to have an implant placed.
The completed treatment appears completely natural. If you did not know that there had been a tooth missing, you would not be able to tell that any treatment had been done.
Implants Gallery Case 2

The most common of the congenitally missing teeth are the upper laterals. This patient was born without an adult lateral tooth.
A single implant was placed and the result is very natural looking. The center tooth, next to the implant, had a veneer placed on it, and the gum tissue was trimmed so that it matched the center tooth next to it.
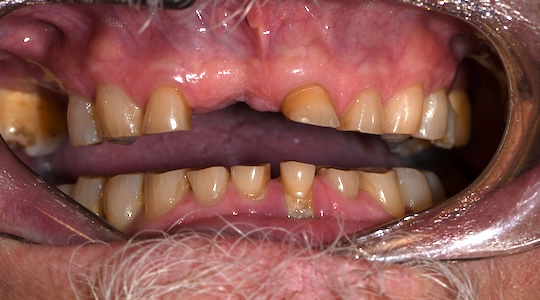
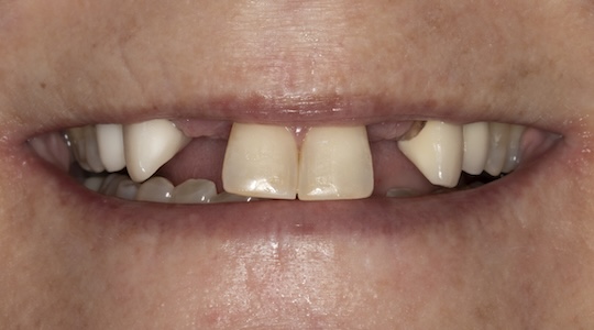
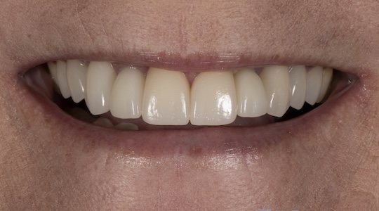
Implants Gallery Case 3

This patient lost several teeth in an auto accident. In the top photo, he is wearing a removable partial denture, which did not match his other teeth, which were had porcelain crowns.
Six implants were placed and the old crowns were replaced. The result is very natural looking and the patient now has the confidence to eat, laugh, and smile.
Implants Gallery Case 4


This patient lost all of his natural teeth many years ago and wore upper and lower full dentures, but had difficulty with his lower dentures staying in place. Implants were placed on the bottom. The patient had no problem with his top denture staying in place so no implants were placed on top.
The lower denture clips onto the bars between the implants and is very stable, yet the patient is able to remove the denture when he needs to brush and clean the implants. The result is a solid chewing surface and the patient can eat whatever food he desires.
Implants Gallery Case 5

This patient had lost all of her natural teeth and had worn dentures for over 20 years. Both the top and bottom dentures were loose because there was not much bone for the denture to sit on. Four implants, two on top and two on the bottom, were placed.
The dentures are removable for cleaning, but they clip onto the implants using rings. They are very stable and natural looking.
Implants Gallery Case 6

The picture on top shows the patient with a missing tooth. On the bottom, a dental implant has been placed and the gum tissue has healed for six weeks
The picture on top shows the implant with a post, which is the foundation for a porcelain crown. On the bottom is the finished treatment, which shows how natural dental implants can appear.