Consistent toothaches or pain can be a sign of an infected tooth or an abscessed tooth. Our teeth have a soft inner core called the pulp that serves to nourish the tooth. Sometimes, due to tooth decay, an abscess, a cracked tooth, an injury, or other reasons, the pulp may become infected, causing that pain.
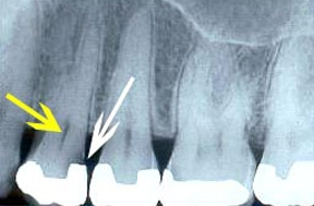
Thanks to advanced dental science, our board-certified dentists can save the tooth by removing the infected pulp and replacing it with a biomimetic filler material. This is called a root canal.
After we complete the root canal, we restore the tooth with a crown so you have a healthy, functional, and natural-looking tooth.
Call Bridge Creek Dental today to schedule an appointment and protect your oral health and strengthen your smile.
Do I Need a Root Canal?
A tooth infection that has gone deep into the tooth is very painful and can cause a range of potentially debilitating issues. It is important to remove the infection and ensure that it doesn’t enter the jawbone.
If you are having a problem with any of the following, a root canal may be what our office recommends:
If you are worried about your toothaches and would like to learn about treatment options from our trusted dentists, you can always reach out via phone or even follow us on social media.
Benefits of Root Canal Care
Root canal therapy is often misunderstood, but its benefits go far beyond saving a tooth. Here is why it’s such an important treatment:
- Saves Natural Teeth: Root canals remove infection while preserving your natural tooth structure, avoiding the need for extraction and costly replacement options.
- Relieves Pain: Contrary to the myth, root canals actually stop the toothache caused by infection and inflammation. Patients typically experience immediate relief once treatment is complete.
- Restores Function: After a root canal, the tooth is restored with a crown or filling, allowing you to chew, bite, and smile with confidence again.
- Protects Oral Health: Treating infection early prevents it from spreading to other teeth, gums, or even the jawbone.
- Prevents Serious Complications: Untreated tooth infections can lead to abscesses, bone loss, or systemic health problems. Root canals address the issue before it becomes dangerous.
- Remains Durable: With proper care, a tooth treated with root canal therapy and a crown can last a lifetime.
By choosing root canal treatment, you are investing in both your oral health and your overall well-being.

Safe and Effective Root Canals
Our office emphasizes using materials and techniques that are safe for the patient and result in a root canal that remains healthy and strong for many years to come.
We do this by offering comfort dentistry and using biocompatible and biomimetic materials. Our materials work with your tooth to keep it healthy and durable. We do not use mercury or any metals that may be dangerous or decay over time. Additionally, you can choose which kind of sedation and pain management will work best for you.
Comfort-Focused Root Canal Care
For patients who experience anxiety or fear around dental procedures, sedation dentistry can make root canal treatment much more comfortable. At Bridge Creek Dental, we offer a range of sedation options, from nitrous oxide (laughing gas) to oral conscious sedation, allowing you to feel calm and relaxed throughout your appointment.
Sedation does not just reduce stress; it also helps you remain still and comfortable, making it easier for our dentists to perform precise, efficient treatment. With sedation dentistry, even complex root canals can be completed with minimal discomfort and a more relaxed experience, giving you peace of mind while we restore your tooth.
Experience fast relief, preserved tooth function, and peace of mind. Call Bridge Creek Dental now to get started with expert root canal care tailored to you.

How Does a Root Canal Work?
We understand that the words “root canal” can be intimidating, and our priority at Bridge Creek Dental is to make every patient feel safe and at ease during their restorative procedure. Through the use of local anesthesia and, if desired, dental sedation, we ensure that you remain relaxed and comfortable.
Once you are fully at ease, our dentists carefully remove any existing fillings to access the core of the tooth using high-precision instruments. Throughout the procedure, we rely on advanced imaging tools, including digital X-rays and intraoral cameras, to guide our work and maintain exact accuracy while protecting the healthy structure of your tooth.
Next, we gently remove the infected pulp from inside the tooth, taking care to preserve as much of the healthy tooth as possible. The cleaned canals are then filled with a biomimetic material, which mimics the natural structure of your tooth and supports long-term durability.
A temporary crown is placed to protect the tooth while it heals, and once your tooth has fully recovered, we finish with a permanent crown that restores full function, strength, and a natural appearance. By the end of your treatment, your tooth is fully restored and ready to serve you for years to come.
What Sets Bridge Creek Dental Apart
Not all root canal experiences are the same. At Bridge Creek Dental, we go above and beyond to provide care that is comfortable, precise, and tailored to each patient.
- Advanced Technology: From digital imaging to rotary endodontic tools, we use the latest advancements to make root canal therapy faster, more accurate, and more comfortable.
- Gentle Techniques: Our doctors are experienced in minimizing discomfort, ensuring that your treatment is stress-free from start to finish.
- Comprehensive Care: Beyond the root canal itself, we provide high-quality crowns and restorations to ensure your tooth is both functional and natural-looking.
- Patient-Centered Approach: We listen to your concerns, answer questions, and provide options so you feel informed and confident in your care.
- Trusted Expertise: With years of experience in restorative dentistry, our team has helped countless patients save their natural teeth and restore their smiles.
At Bridge Creek Dental, our focus is always on creating healthy, lasting smiles with the highest level of comfort and precision. We provide root canal treatments that not only relieve pain but also restore your oral health for the long term.
Our team combines advanced technology, precise techniques, and years of experience to ensure every procedure is as comfortable and efficient as possible. We use only safe, high-quality materials to protect your tooth and surrounding structures, giving you results that are both durable and natural-looking.
Patient Reviews
Our patients often share how root canal treatment at Bridge Creek Dental gave them back their comfort and peace of mind. From those who feared losing a tooth to others who had endured severe toothaches, their stories reflect the relief and confidence that come with gentle, effective care.
These testimonials inspire us daily and affirm our commitment to creating positive dental experiences.


Why You Should Not Postpone Root Canal Treatment
Delaying a root canal can lead to worsening pain, increased infection, and more extensive dental problems. An untreated tooth infection can spread to surrounding teeth, gums, and even the jawbone, potentially leading to abscesses or more complex procedures like extractions.
Postponing treatment can also make the procedure more difficult and prolong discomfort. By addressing the problem promptly, a root canal relieves pain, preserves your natural tooth, and prevents further complications, helping you maintain both your oral health and overall well-being.
Acting quickly ensures a faster recovery and a more predictable, long-lasting outcome for your smile.

Frequently Asked Questions About Root Canal Therapy
It’s normal to have questions about root canal care, especially if it’s your first time. To help you feel prepared, we’ve answered some of the most common concerns below.
Is a root canal painful?
No. Thanks to local anesthesia and modern techniques, most patients say their root canal feels no different from getting a routine filling. The treatment actually eliminates the pain caused by infection.
How long does the procedure take?
Most root canals can be completed in one to two visits, depending on the complexity of the case.
Will I need a crown afterward?
In most cases, yes. A crown strengthens and protects the treated tooth, restoring its appearance and function.
How do I know if I need a root canal?
Common signs include persistent tooth pain, sensitivity to hot or cold, swelling in the gums, or discoloration of a tooth. However, only a dentist can confirm the need for treatment through an exam and imaging.
How long will the results last?
With good oral hygiene and regular dental visits, your treated tooth can last a lifetime.
What Is the end result?
A permanent crown will be placed after treatment. It works to protect the tooth, restore its strength, and help prevent future damage or infection. Most patients find that once the tooth is treated and restored, it functions just like a natural tooth, allowing you to eat, speak, and smile with confidence for many years.
Can I eat normally after a root canal?
Yes, though it is best to avoid hard or sticky foods until the tooth is fully restored with a crown or permanent filling. Eating softer foods initially can help prevent discomfort or damage.
What if I have dental anxiety?
Our team is experienced in helping anxious patients feel at ease. We offer sedation options, gentle techniques, and a supportive environment so you can receive care comfortably.
Are there alternatives to a root canal?
In some cases, extraction may be an option, but a root canal is typically the preferred choice to preserve your natural tooth and maintain proper function and alignment.
How can I care for my tooth after treatment?
Maintain good oral hygiene by brushing twice daily, flossing, and attending regular dental checkups. Avoid chewing hard foods on the treated tooth until fully restored. Following these steps will help ensure long-term success.
Choose Us for Your Safe and Effective Root Canal
Your comfort and well-being are our top priorities. From the moment you walk in, we focus on creating a calm, supportive environment that eases anxiety and promotes a positive dental experience.
If you are experiencing persistent toothaches, sensitivity, or swelling, do not wait; schedule a consultation with Bridge Creek Dental today to protect your smile and regain your comfort.