At Bridge Creek Dental in Billings, MT, we provide advanced periodontal surgery to help patients restore their gum and bone health, improving both function and aesthetics.
Our team of experienced dentists, Dr. Kyle Wassmer, Dr. Jacob Taylor, and Dr. Oliver Swensen, combines precision, skill, and modern technology to ensure that every procedure is effective, durable, and comfortable.
To find out what treatment is right for your smile, call our dental team today and schedule a consultation.

What Is Periodontal Surgery?
Periodontal surgery is a specialized dental procedure designed to treat advanced gum disease, repair tissue damage, and support the long-term health of your teeth and jawbone. Unlike routine cleanings or nonsurgical treatments, periodontal surgery targets deeper issues in the gums and supporting structures that cannot be addressed through conventional methods.
The goal of periodontal surgery is to restore a healthy foundation for your teeth, prevent further tissue and bone loss, and maintain the function and appearance of your smile.
What Does It Treat?
Periodontal surgery addresses a range of oral health issues, including:
- Advanced Gum Disease (Periodontitis): When plaque and bacteria have caused significant inflammation or tissue damage, surgical intervention can help restore gum health.
- Receding Gums: Surgery can rebuild gum tissue that has pulled away from teeth, protecting tooth roots from decay and sensitivity.
- Bone Loss: Procedures such as bone grafting can regenerate lost bone to stabilize teeth.
- Aesthetic Concerns: Uneven gum lines, excessive gum tissue, or other cosmetic issues can be corrected to enhance your smile.
By targeting these issues, periodontal surgery supports oral health and enhances the overall appearance and longevity of your teeth.

Periodontal Surgery Options
Bridge Creek Dental offers a variety of surgical procedures tailored to your specific needs. Our dentists will recommend the right approach based on your oral health and treatment goals.
Each of these procedures is carefully planned and executed for optimal outcomes in both health and appearance. If you are interested in any of these treatment options, call Bridge Creek Dental today and schedule a consultation.
What Risks Are Involved with Avoiding Periodontal Surgery?
Avoiding recommended periodontal surgery can have significant consequences for your oral health. When gum disease progresses without proper intervention, it can lead to worsening infection and the breakdown of the supporting structures of your teeth, including bone and connective tissue.
This can result in teeth moving and eventually tooth loss. Beyond the immediate dental impact, untreated periodontal issues may contribute to systemic health concerns, like inflammation that can affect heart health and diabetes management.
Patients who delay or avoid surgery may also experience persistent gum recession, deepening pockets, and chronic discomfort, making daily activities such as chewing and speaking more difficult.
Additionally, less aggressive treatments may become less effective over time, potentially requiring more complex and costly procedures later. Consulting with our skilled dental professionals can help you understand the benefits of timely periodontal surgery and protect both your smile and overall well-being.
Using Dental Technology in Periodontal Surgery
Bridge Creek Dental integrates advanced technology into every aspect of periodontal care to enhance precision, predictability, and patient comfort. Relevant tools for surgical procedures include:
- Digital Impressions: Itero scanners capture highly accurate 3D images of your teeth and gums, for precise planning and restoration.
- Cone Beam CT Scanning: The Care Stream CBCT provides 3D imaging for detailed views of bone structure, allowing for safe and accurate surgical planning.
- Intraoral Cameras and Digital X-rays: These tools help diagnose gum and bone issues and monitor progress before, during, and after surgery.
- High-Tech Sterilization: Our equipment cleans every instrument to meet rigorous standards for safety and hygiene, giving you peace of mind throughout your procedure.
We use these technologies to provide outcomes that are predictable, minimally invasive, and long-lasting.


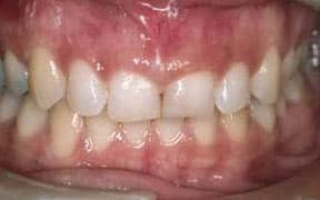
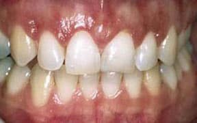
Patient Reviews
Our patients consistently share how our periodontal treatments have improved their oral health and confidence. They often appreciate the professionalism, skill, and comfort provided by our team. These reviews reflect the personalized care and attention to detail that define the Bridge Creek Dental experience.
FAQs About Periodontal Surgery
Any dental treatment can raise questions, especially when you aren’t familiar with them, but any treatment that includes surgery often opens a whole new line of questions. It’s normal to be curious, and it’s important to be informed before getting surgery so you know if it is the right step for you.
These answers can help you make informed decisions about your oral health while understanding the benefits of surgical intervention. Here are some of the most common inquiries from our patients:
What should I expect during recovery?
Recovery varies depending on the procedure. Patients can usually resume normal activities within a few days, while complete healing may take a few weeks. Our team will provide detailed post-operative instructions for a smoother recovery period.
Is periodontal surgery painful?
Your comfort is our priority. We use local anesthesia and offer sedation options, when appropriate, to minimize discomfort throughout your procedure. Our office will help you feel comfortable during and after treatment with post-surgery instructions, follow-up visits, and prescription medication, if necessary.
How long do the results of periodontal surgery last?
With proper oral hygiene and regular dental checkups, the results of periodontal surgery can last many years, preserving both your health and smile.
Will my insurance cover periodontal surgery?
Coverage depends on your plan. Our office staff can assist with insurance questions and help maximize benefits where applicable.
Are there non-surgical alternatives?
For less severe gum issues, nonsurgical treatments like scaling, root planing, or laser therapy may be effective. Surgery is typically the last resort, especially when other options have been exhausted. We typically recommend it when deeper tissue or bone repair is necessary.
That is why it is important to have early detection and receive treatment so you don’t reach surgical care.
SCHEDULE YOUR CONSULTATION
Whether you are addressing advanced gum disease, preparing for dental implants, or seeking to enhance your smile, our periodontal surgery options can help you achieve lasting oral health and confidence.
Give Bridge Creek Dental a call today to schedule your consultation and take the first step toward healthier gums and a more confident smile.