Tooth deterioration can feel embarrassing or stressful. Thankfully, Bridge Creek Dental offers crowns, which restore a tooth without removing it. Dental crowns are tooth-shaped caps that are placed over damaged teeth. Crowns restore the tooth’s shape, size, strength, and appearance.
Here at Bridge Creek Dental, we use top-quality dental products to provide the best results. We utilize e.max Press materials, as well as BruxZir® zirconia crowns and BruxZir® esthetic crowns to give you a long-lasting smile. Our Glidewell Mill, which constructs same-day dental crowns, allows us to make the smile in-office, often in a single visit.
Dental Crown Treatments
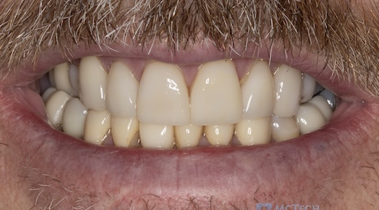
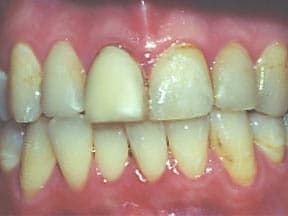
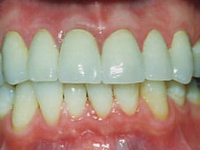
View Real Patient Crowns Case Before & After Images

Understanding Dental Crowns
A dental crown is a replacement tooth that protects your grin against further damage. You’ve likely heard of these tools before, and they’ve advanced a long way to provide comfortable results for your look.
In many cases, we can use your natural tooth root to stabilize the dental crown. However, for severe cases, we begin by placing a dental implant to replace the tooth root, followed by a crown to restore the visible aspect of your tooth. These two essential tools make up a large part of the restorative process.
Our goal is to adhere to your natural smile as much as we can, but to take away the discomfort that comes from broken teeth and deteriorating tooth roots.
Keep Your Smile Strong
Dental crowns are a popular solution thanks to their strong restorative power. Learn more about how dental crowns can improve your everyday habits and abilities:
Improve Your Lifestyle with Dental Crowns
On top of restoring your teeth, dental crowns simply look and feel great as you go about your day. Here are a few perks about dental crowns that keep our patients smiling:
- Focus on Your Look: Shield any weak teeth from cracking or decay with the help of dental crowns. Old age or cavities often require the use of these tools. Our specialized team will craft dental crowns that match your original teeth and look.
- Improve Confidence: Reduce embarrassment from tooth stains and misshapen teeth by using dental crowns. Our dental crown treatment is completed the same day using in-office equipment, eliminating the need for a temporary crown.
- Prioritize Your Health: Oral care is a fundamental aspect of your general health and well-being. Addressing concerns about your smile keeps you committed to maintaining dental habits and eating healthy foods.
Dental Crowns Can Help at Any Stage
When you visit Bridge Creek Dental for a consultation, we will be able to determine if a crown is the right option for your oral health and cosmetic concerns. It’s never too late to receive a dental crown, even if you have struggled with tooth damage long-term.
Some patients have previously received dental crowns or other restorative tools that can no longer support their smile. We are able to replace these crowns to maintain a secure smile for years to come.


Choose Bridge Creek Dental for Your Crowns
It’s no secret that there are plenty of options in Billings, MT, to repair broken or missing teeth. Despite this, it’s hard to beat the results-based approach from the Bridge Creek Dental team. Call our office today to see what Bridge Creek Dental can do for you.
Same-Day Crowns
Thanks to our in-office Glidewell Mill, we can create your crown in a single visit using one of our many material options. We offer different materials for your crowns based on your budget and desired cosmetic effects. We will suggest an option we believe is best and discuss your options during your initial consultation.
After Hours Appointments
Dental crowns are frequently used in emergency situations where tooth pain becomes unmanageable. Proper preparation is key in any emergency. Bridge Creek Dental is happy to assist with after-hours appointments for patients of record. After you receive a regular dental cleaning, you will have access to immediate treatment right when you need it.
Give our office a call as soon as possible if a dental emergency occurs. We will do our best to address the concern promptly.
Advanced Dental Technology
Advanced dental technology provides our services with up-to-date accuracy and long-term results. As a practice in a recently opened clinic, our tools are updated to reflect the results we know our patients deserve. From mercury-free tools to in-depth computer scanners, each tool that we use optimizes recovery and functional outcomes.

Hertha’s Dental Crowns Experience
We Cover Extensive Dental Treatment
Dental crowns are one of the many ways that we repair and fortify your smile. If you need to repair multiple teeth, we have other approaches that utilize various solutions (including crowns) to repair your smile.
The Dental Crown Procedure
The dental crown procedure is focused on our patients every step of the way. We’ve listed each step of placing a dental crown below and how our results make this tool an exceptional investment for your oral care:
Same-Day Crown Placement
Do you need assistance with your teeth on a tight deadline? Bridge Creek Dental offers long-lasting aesthetic dental crowns with the help of in-office solutions. We will take digital impressions and use those to create a custom crown using our in-office Glidewell Mill.
In traditional treatments, patients would need to split the dental crown procedure into multiple visits, while the dental crown is constructed in a lab. This step commonly took up to two weeks for the product to be made and shipped back to the dentist. Bridge Creek Dental brings the lab into the office, improving the patient experience.

Find Answers about Dental Crowns
These are some commonly asked questions about dental crown treatment in Billings, MT. Feel free to call our office if you have any more questions or concerns.
Why BruxZir® Dental Crowns?
Bridge Creek Dental provides BruxZir® Dental Crowns to assist in your oral care because these dental crowns are known to be one of the strongest and most durable crowns on the market. The crowns also have a very aesthetic look, which blends in with the rest of your smile.
Will There Be Pain from Dental Crowns?
Dental crowns are built to relieve past pain caused by tooth trauma or negative dental habits. You may feel slightly uncomfortable as the crowns adjust to your mouth, but this pain is only temporary. Bridge Creek Dental also offers dental sedation to ease pain during the placement process.
What is a Dental Crown’s Lifespan?
Dental crowns normally last from 5 to 15 years. The lifespan can depend on the amount of wear and tear the crown is exposed to and how well you follow good oral hygiene practices. Follow these steps to increase the lifespan of your dental crowns:
- Upkeep Oral Care: Good practices include brushing your teeth twice a day and visiting one of the dentists at Bridge Creek Dental for routine cleanings twice a year.
- Break Down Tough Foods: Many tough foods can be great for your diet, but be sure to cut these foods into small chunks before eating to avoid unnecessary tooth strain.
- Wear Mouthguards: Bridge Creek Dental offers mouthguards for patients’ teeth that may be more susceptible to further damage. Give our office a call for more information.
Smile Brighter with Custom Dental Crowns
We offer same-day crowns that can restore your confidence and oral health. Bridge Creek Dental is here to give you quality and honest dental care in Billings, Montana. Contact us today to begin your dental restorations.

























